Case History:
18 yo male patient with R sided leg swelling, bruising and pain
Contributed By:
Brett Kinsler, DC
Case Presentation: Page 3 of 4

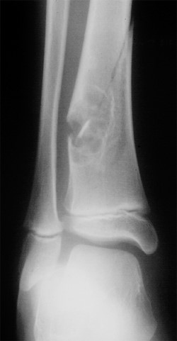
Radiographs were deemed necessary and the patient was sent for x-rays of the lower extremity. Images are provided below.

 

Questions: What are the significant findings in the radiograph? What is the diagnosis?

Go To Page:    1  2  [3]  4    
Print This Page Print This Page